Bone tumor surgery recovery time bone cancer symptoms

What is Bone Cancer Surgery?

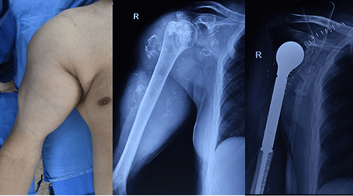
Bone cancer surgery involves the removal of cancerous bone tumors and surrounding tissues to treat bone cancer. This procedure aims to eliminate the tumor while preserving as much healthy bone and surrounding tissue as possible. It is often combined with other treatments like chemotherapy or radiation to enhance effectiveness and prevent recurrence.

bone cancer treatment

Why Is Bone Cancer Surgery Necessary?

Bone cancer surgery is necessary when:

  • Localized Tumors: When bone cancer is localized and the tumor can be removed surgically to prevent it from spreading or worsening.
  • Pain and Dysfunction: When the tumor causes significant pain, discomfort, or impairs the function of the affected limb or joint, surgery can provide relief and restore function.
  • Preventing Spread: When surgical removal of the tumor is crucial to prevent the cancer from spreading to other parts of the body.
  • Improving Survival Rates: When surgery can improve the overall survival rates by removing cancerous tissue and potentially increasing the effectiveness of other treatments.

about-shape
about-shape

Procedure of
Bone Cancer Surgery

Step-1: Preparation

Preoperative evaluations, including imaging and biopsies, are performed to plan and assess the surgery.

Step-2: Incision

An incision is made to remove the cancerous bone and surrounding healthy tissue.

Step-3: Reconstruction

Reconstruction may involve grafts or prosthetics to restore function and appearance after tumor removal.

Step-4: Closure

The incision is closed with sutures or staples, followed by pain management and rehabilitation for recovery.

Leading Bone
Cancer Surgeon in Patna

Dr. Ashish Singh is recognized for his expertise in bone cancer surgery. His extensive experience and advanced surgical techniques ensure the highest level of care. Known for his precision and patient-centered approach, Dr. Singh delivers exceptional outcomes for bone cancer treatment.

Book Appointment

Advantages of Bone Cancer Surgery

Bone cancer surgery name

Tumor Removal

Directly removes cancerous tissue, potentially eliminating the source of the cancer and preventing further spread. This targeted approach can halt disease progression and reduce future complications, offering a definitive solution to localized cancer.

Pain Relief

Provides significant relief from pain and discomfort associated with the tumor. Effective pain management through surgery greatly enhances the patient's quality of life and overall well-being, allowing for a more active and comfortable lifestyle.

Function Restoration

Aims to restore limb function and mobility through reconstruction techniques. Advanced surgical methods, including prosthetics and grafts, help patients regain normal function and improve daily activities, enabling them to resume their daily routines and hobbies.

Enhanced Survival

Improves survival rates by effectively treating localized cancer and supporting the effectiveness of adjunct treatments. Successful surgical intervention contributes to longer-term survival and better outcomes when combined with other therapies, offering patients hope for a healthier future.

Bone cancer treatment

Why Choose Dr. Ashish Singh for Bone Cancer Surgery?

Bone cancer surgery Cost

Why Choose Dr. Ashish Singh for Bone Cancer Surgery?

  • Extensive Experience: Over 25 years of experience in bone cancer surgery, handling complex cases with skill and expertise. His extensive background ensures a deep understanding of various cancer types and treatment approaches.
  • Advanced Techniques: Utilizes the latest surgical techniques and technologies to ensure effective tumor removal and reconstruction. This commitment to advanced methods enhances precision and minimizes recovery time.
  • Comprehensive Care: Provides thorough preoperative and postoperative care, ensuring a smooth and supportive treatment journey. His holistic approach addresses all aspects of patient care, from initial diagnosis to long-term recovery.
  • Patient-Centered Approach: Focuses on personalized care, tailoring treatment plans to each patient's needs and goals. By involving patients in decision-making, he ensures that treatments align with individual preferences and health objectives.
  • Proven Track Record: Demonstrates high success rates and positive patient feedback, reflecting his skill and compassionate care. His reputation is built on successful outcomes and the trust of patients who have benefited from his expertise.
  • Commitment to Excellence: Regularly updates skills and knowledge to incorporate the latest advancements in bone cancer treatment. This dedication to continuous improvement ensures that patients receive the most effective and innovative care available.

Global Orthopaedic Care India

Bone Cancer Surgery
Bone tumor surgery recovery time

International Patient Care

Dr. Ashish Singh offers specialized care for international patients seeking Dr. Ashish Singh Bone Cancer Surgery. Services include assistance with travel arrangements, accommodation, and personalized postoperative care, ensuring a seamless and comfortable experience.

Additionally, his team provides comprehensive support with visa arrangements and language translation services to make your stay as convenient as possible. From pre-surgery consultations to post-operative follow-ups, Dr. Singh’s commitment to international patient care ensures a smooth journey and exceptional treatment outcomes.

Patient's Review

Contact us today to schedule a consultation with Dr. Ashish Singh

FAQS

What is the cost of bone cancer surgery?

Costs depend on the surgery's complexity, surgeon's fees, and healthcare facility. Contact the provider for detailed pricing information.

What is bone cancer surgery?

Bone cancer surgery involves the removal of cancerous bone tumors and surrounding tissues to treat bone cancer and prevent its spread.

What is the recovery time for bone cancer surgery?

Recovery time varies depending on the surgery's complexity and the patient's overall health. Patients may require several weeks to months to fully recover and regain function.

How is bone cancer surgery performed?

The procedure involves making an incision to remove the tumor and potentially reconstructing the affected area using grafts or prosthetics.

What are the benefits of bone cancer surgery?

Benefits include tumor removal, pain relief, improved limb function, and enhanced survival rates by addressing localized cancer effectively.

logo
back top